-
显微摄影师李家赫:
用镜头“俯瞰”拍摄自己“内心的风景”
-
□四川日报全媒体记者 余如波
华西口腔,享誉医学界的一块“金字招牌”,22岁的李家赫是这里的一名大五学生。不过,他的名字被大家所知,却源于一项“业余爱好”——显微摄影。
作为一名在显微摄影领域的新锐,最近,四川大学华西口腔医学院2019级本科生李家赫接连获得中国细胞生物学会显微摄影展一等奖、四川省电子显微摄影大赛一等奖。在由中华口腔医学会主办的第二届“生命的艺术”年度显微图片展活动中,其作品《秘密森林》获提名展示。
李家赫觉得,显微镜如同飞机的舷窗,那些骨骼、肌肉、神经切片就像山川大地。他沉迷于用镜头“俯瞰”,拍的其实是自己“内心的风景”。
在显微镜下观察切片,如同在飞机上俯瞰大地
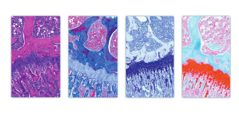
记者面前的5件作品色彩瑰丽,极具视觉冲击力,乍看之下如同航拍风光大作。“这一组作品均使用显微镜拍摄,所拍摄的对象是人体和动物的组织器官,比如肌肉、骨骼、大脑等。”李家赫说,其中4幅长条形作品为一组,都是实验动物的骨骼切片,它们之所以拥有不同的色彩,主要在于采用了不同的染色方法。
染色的意义是什么?“我们知道医院都有病理科,做病理诊断的时候会通过很多的染色手段来诊断疾病,不同的染色方法就是为了区分不同的生理结构、病变等。”李家赫以自己的作品为例介绍,有的染色手段主要用来分辨骨组织和肌肉组织,整体的色调以紫色和粉红色居多;有的用于辨别骨组织里面不同的胶原成分,以区分骨生长的不同阶段,主要色调是蓝色和红色;有的以不同颜色,代表成骨细胞和破骨细胞之间的制衡关系,“骨头并不是一成不变的,它其实伴随着动态的生长和退化的过程”。
李家赫将这组作品命名为《俯仰之间》,“每当我在显微镜下观察着这些切片时,就如同在飞机上俯瞰大地,在不经意间看到了山川湖海、日月星辰。”他拍摄的很多作品,也有意通过这种生理的景象来对应自然当中的一些景观。
例如另一幅作品,看上去就像弧形的地表上,凸起一座油画颜料绘制的山峰,李家赫将其命名为《丹丘山》。“其实这是口腔里面的种植体,表面长了一层我们自身的牙槽骨。切片取出来经过染色,就可以看到山峰一样的图像。”
翻阅李家赫整理的作品集,这样的照片还有不少:《晨昏线》图如其名,整体半明半暗,其实是未脱钙骨组织切片;《红日初升》如同太阳爬上山头,《赤潮》就像蓝色海洋中漂浮着红色藻类生物,二者均为大鼠脱钙骨组织切片……
一张组织切片的照片,其中仍然包含着成千上万的细胞,李家赫用显微镜继续放大,还拍摄了不少单个细胞的照片。“细胞的类型不同,形态也不一样,有圆的,有方的,也有的像纤维一样,给人呈现出一种小草向上生长的力量。”
拍出让人眼前一亮的作品,有一定的偶然性
大二时,因为做实验的缘故,李家赫开始着迷于显微摄影。“突然手里有一个显微镜可以玩,就到处摆弄。”他觉得,显微摄影最让人享受的一点,就是拿到组织切片放在显微镜下,可以不用管任何事情,慢慢看。“显微镜可以自由选择‘风景’去拍摄,就像是坐飞机的时候,从舷窗往大地看,显微镜的镜头就成了舷窗。”
国内做显微摄影的人并不多,在专业领域内,北京大学口腔医学院教授李铁军可以说是李家赫的启蒙者之一。“他是口腔病理方面的专家,从业几十年一直用显微镜拍摄组织,他将这些好看的照片进行了整理,出版了一本作品集,尤其是将漂亮的图片和它本身的生理含义联系到一起。”2020年春节,李家赫买到之后非常着迷,当天晚上就看完了;后来,李家赫还到北大登门拜访,也常在学术会议上学习请教。
摄影是一种大众化的艺术形式,日常生活中,人们拿着相机或手机,按下快门就能拍摄。相对而言,显微摄影有何不同?“其实主要有两个步骤,一个是前期的处理,一个是拍摄。”李家赫介绍,处理过程和医院里面做病理切片类似,比如取一块骨组织或者肌肉组织,通常将其包埋在石蜡里面,用切片机切成一层层几微米厚度的小薄片。这个时候组织还是白色的,如果想拍出颜色,就要对它进行染色,然后封闭保存。“我们给显微镜接上一台相机,连到电脑上,选择区域、调节参数,就可以拍摄了。”
“首先这一套设备就价值不菲,另外整个前期处理周期比较长,从最开始选到新鲜组织到制成切片,可能就要三五天。”李家赫说,有时做了几十张切片,却拍不到一张特别满意的照片。“骨头或者肌肉,在显微镜下都有个大概的形态,但是要选到‘好看’的地方,拍出让人眼前一亮的感觉,还是有一定的偶然性。”
“口腔医学的一大特点,就是和‘美’关系密切,说白了牙齿要做得好看。”在本科阶段,李家赫就接受了不少审美教育,练习面部结构、牙齿、骨骼素描,后续还有雕蜡块、做仿真人头等训练。他也希望今后能多拍牙齿,“牙齿样本这种硬组织,前期处理起来更麻烦,染色、拍摄难度也更大,但好处是照片会更好看。”
